El sarro dental, esa capa amarillenta que se forma en los dientes, la lengua o las paredes internas de la boca, es más que un problema estético: también puede afectar seriamente la salud bucal si no se trata a tiempo.
Aunque existen muchos “remedios caseros” populares, como el uso de bicarbonato, vinagre o limón, los dentistas advierten que estas sustancias son abrasivas y dañan el esmalte natural de los dientes, una capa que no se regenera y cuya pérdida puede causar sensibilidad, caries o erosión dental.
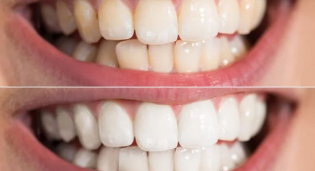
Cómo eliminar el sarro sin dañar tus dientes
Te podría interesar
- Remedios caseros
Adiós a las manchas amarillas de tus almohadas; este método para limpiarlas con ingredientes del hogar las dejará impecables
- Higiene bucal
¿El café está manchando tus dientes de amarillo? Así puedes evitarlo, según expertos
- Recomendaciones
Profeco: crea tu propio jabón líquido casero con esta receta; necesitas seis ingredientes
Los profesionales recomiendan mantener una higiene bucal constante y correcta en lugar de recurrir a métodos caseros agresivos. Aquí algunas medidas efectivas:
- Cepilla tus dientes al menos tres veces al día, después de cada comida.
- Usa cepillos interdentales o palillos suaves para retirar restos de comida.
- Utiliza hilo dental diariamente.
- Elige un dentífrico con flúor, que fortalece el esmalte.
- Finaliza tu rutina con enjuague bucal antibacteriano.
Además, evita alimentos ultraprocesados o con alto contenido de azúcar, ya que favorecen la proliferación de bacterias que generan caries y placa dental.
Cuándo acudir al dentista
Si a pesar de una buena higiene el sarro persiste, lo recomendable es acudir a un dentista al menos una vez al año.
Los especialistas pueden realizar una limpieza dental profesional con instrumentos adecuados que eliminan el sarro sin dañar el esmalte.
Cuidar el esmalte es proteger tus dientes
El esmalte dental no se regenera, por lo que su cuidado es esencial para conservar una buena salud bucodental a largo plazo y evitar tratamientos costosos o invasivos. Mantener una rutina de limpieza constante y visitar regularmente al dentista es la mejor forma de mantener tu sonrisa limpia, fuerte y saludable.
